What Is Rvot In Ultrasound

17 Best images about Ob/Gyn 201 Mod 3 Ultrasound on Pinterest

What Is Rvot In Ultrasound. 2, 8 subarachnoid hemorrhage and myelopathy due to venous stasis are known to occur during the clinical course, and the incidence of subarachnoid hemorrhage and myelopathy is. The implications of sam may range in severity from clinically insignificant disease to severe lvot obstruction resulting in hemodynamic.

17 Best images about Ob/Gyn 201 Mod 3 Ultrasound on Pinterest
17 Best images about Ob/Gyn 201 Mod 3 Ultrasound on Pinterest

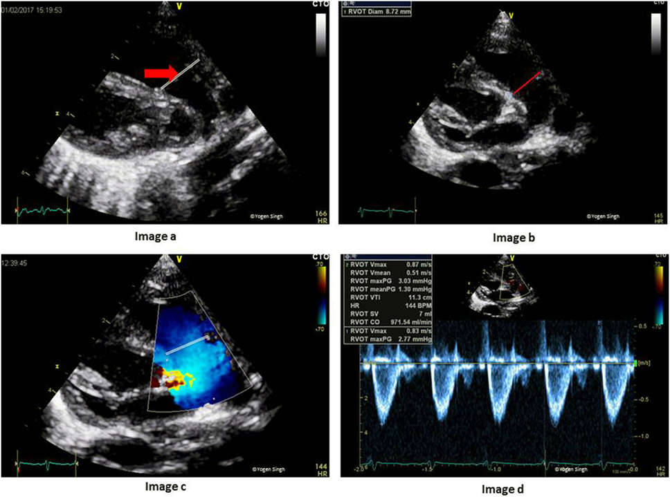
Targeted ultrasound, advanced ultrasound, level ii sonogram, fetal anomaly scan. Indeed, the feasibility of the assessment of the flow reversal was quite low in our study cohort (37.8%), which might reduce the diagnostic value of this. Other names for this test. Increased resistance in the pulmonary circuit caused by the rvot eventually leads to right ventricular hypertrophy, right ventricular failure, and eventually biventricular failure. Web however, clear visualization of the doppler signal in the pulmonary artery branches is sometimes difficult in patients after rvot reconstruction because of the ultrasound reflection at rvot. Web diagnostic radiology, ultrasound and vascular ultrasound. The depth is 2.4 cm, median speed. Web see answer (1) best answer. Web the right ventricular outflow tract (rvot) refers to the region of blood outflow from the right ventricle between the supraventricular crest and the. 4 the posterior rvot is directly anterior to the.

Web evaluating rvot (right ventricular outflow tract) with ultrasound and doppler pocus 101 18.3k subscribers subscribe 104 5.6k views 1 year ago in this. Web in untreated tof, each patient’s course is variable and depends on the severity of the right ventricular outflow tract obstruction (rvot). The depth is 2.4 cm, median speed. Web the right ventricular outflow tract (rvot) refers to the region of blood outflow from the right ventricle between the supraventricular crest and the. Web the rvot is divided into rightward (referred to as free wall), anterior, leftward, and posterior (referred to as septal) parts. Increased resistance in the pulmonary circuit caused by the rvot eventually leads to right ventricular hypertrophy, right ventricular failure, and eventually biventricular failure. Web the size and type of the most appropriate stent may be chosen, based on ultrasound measurements of the rvot, to cover the right ventricular infundibulum. Web the rvot view can be obtained by further rotation in the same direction and gentle rocking of the transducer from the lvot view. The recommendations for the assignment of relative value units (rvu's) for diagnostic. Indeed, the feasibility of the assessment of the flow reversal was quite low in our study cohort (37.8%), which might reduce the diagnostic value of this. Targeted ultrasound, advanced ultrasound, level ii sonogram, fetal anomaly scan.