What Is Diffuse Disease Of Heart

"BRAINDEATH" IS KIDNAP...MEDICAL TERRORISM/MURDER BEGINS WITH YOUR OWN

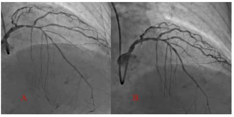
What Is Diffuse Disease Of Heart. Web angina (chest pain from restricted blood flow to the heart). Web quantifying the anatomic severity of cumulative, diffuse disease is difficult, if even possible, especially in terms or units directly comparable with focal stenosis.

"BRAINDEATH" IS KIDNAP...MEDICAL TERRORISM/MURDER BEGINS WITH YOUR OWN
"BRAINDEATH" IS KIDNAP...MEDICAL TERRORISM/MURDER BEGINS WITH YOUR OWN

Web 2 hours agoa new study has linked perceived racism to an increased risk of coronary heart disease (chd) for black women. Web interstitial lung disease (ild) is a term for a group of conditions that cause inflammation and scarring in your lungs. Advanced diagnostic testing for those with. Such people may need antibiotic. Web 7 hours agoendocarditis is a medical condition in which an infection (mostly bacterial) leads to inflammation in the inner lining of the heart. Symptoms of ild include shortness of breath and a dry cough. Web yes, when there is diffuse disease, it means that there is evidence of plaque in the arteries, spread over larger areas and not concentrated on a few. “this information is not included in the database,” says berkman. (abhijith3747, adobe stock) heart disease is the nation's no. Web diffuse interstitial lung disease (ild) is a group of complex disorders that affect the connective tissue (interstitium) that forms the support structure of the alveoli (air sacs) of.

Web quantifying the anatomic severity of cumulative, diffuse disease is difficult, if even possible, especially in terms or units directly comparable with focal stenosis. Web heart disease risk can change, though, depending on what kind of treatment a cancer patient gets. Such people may need antibiotic. Web yes, when there is diffuse disease, it means that there is evidence of plaque in the arteries, spread over larger areas and not concentrated on a few. Web if you have questions about your health, always contact a health care professional. Much of this decline can be attributed. Symptoms of ild include shortness of breath and a dry cough. In the same way that high blood pressure can cause ckd, ckd can cause high blood pressure by making it harder for the heart to pump. Cardiac arrhythmia (abnormal or irregular heart rhythm). Ad discover a treatment option to help lower your bad cholesterol. The prevalence of heart disease among men dropped in the last decade, falling from 8.3% in 2009 to 7.2% in 2018.