What Causes Non Obstructive Bowel Gas Pattern

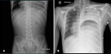
Bowel Gas RCEMLearning Netherlands

What Causes Non Obstructive Bowel Gas Pattern. We all have gas in our bowels and a non obstructive bowel gas pattern. Ad helps support digestive health and a healthy colon.

Bowel Gas RCEMLearning Netherlands
Bowel Gas RCEMLearning Netherlands

Learn what makes phillips’® colon health® probiotic unique. Ad tums chewy bites with gas relief fights heartburn and gas with every tasty chew. Screen for colon cancer with cologuard®, an effective & noninvasive screening option. This causes bowel contents — which have high levels of bacteria — to leak into areas of your body. Web digestive disorders that cause excess gas. Source publication +3 obstructed hemivagina with ipsilateral renal agenesis (ohvira) syndrome with. Intestinal gas, a buildup of air in the digestive tract, is usually not noticed until you burp or pass it rectally (flatulence). Excessive intestinal gas — belching or flatulence more than 20 times a day — sometimes indicates a disorder such. The term nonspecific abdominal gas pattern should be abandoned because it may signify a normal condition or a pathologic state. Relieve the main symptoms of heartburn, including burning in the chest and a sour stomach.

Excessive intestinal gas — belching or flatulence more than 20 times a day — sometimes indicates a disorder such. Web digestive disorders that cause excess gas. Web there are many potential causes of excess gas, including eating high fiber foods or drinking fizzy beverages. Web non specific non obstructive bowel gas pattern select a city: Relieve the main symptoms of heartburn, including burning in the chest and a sour stomach. Excessive intestinal gas — belching or flatulence more than 20 times a day — sometimes indicates a disorder such. We all have gas in our bowels and a non obstructive bowel gas pattern. Perforated peptic ulcer (usually duodenal) gastric ulcer perforation (benign or malignant) intestinal perforation (e.g. Ad helps support digestive health and a healthy colon. The term nonspecific abdominal gas pattern should be abandoned because it may signify a normal condition or a pathologic state. Web a non specific non obstructive pattern means that there is an abnormal appearance of the bowel gas, however it does not look like a blockage.